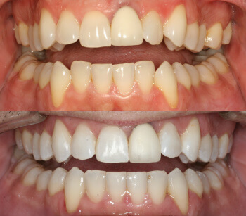
Gaps between front teeth can be fixed in a very easy manner with additive dental composite resins. This is a great alternative to braces, crowns, and traditional dental veneers. Dental bonding fixes gaps, or spaces, that are in between front teeth to make teeth look younger, and more beautiful. This is the same method for fixing what we call "dark triangles" or "black triangles" at the gum line. The method that I use to fix these gaps is to use composite resin, and not drilling the teeth. When you get veneers or crowns, tooth structure is lost due to having to drill the tooth down. If you have gaps between your teeth, please call us for a consultation. We will mock-up the appearance of your teeth so you can preview the obtainable results
Fixing gaps and black triangles between teeth is LARGELY skill dependent on the dentist's level of ability. Porcelain veneers are largely dependent on having a great laboratory technician who makes them look great and usually requires more tooth removal. I have now hundreds of cases completed of this dental bonding for gaps, and it looks amazing year after year. It does not harm natural enamel and again, requires no removal of tooth structure.
