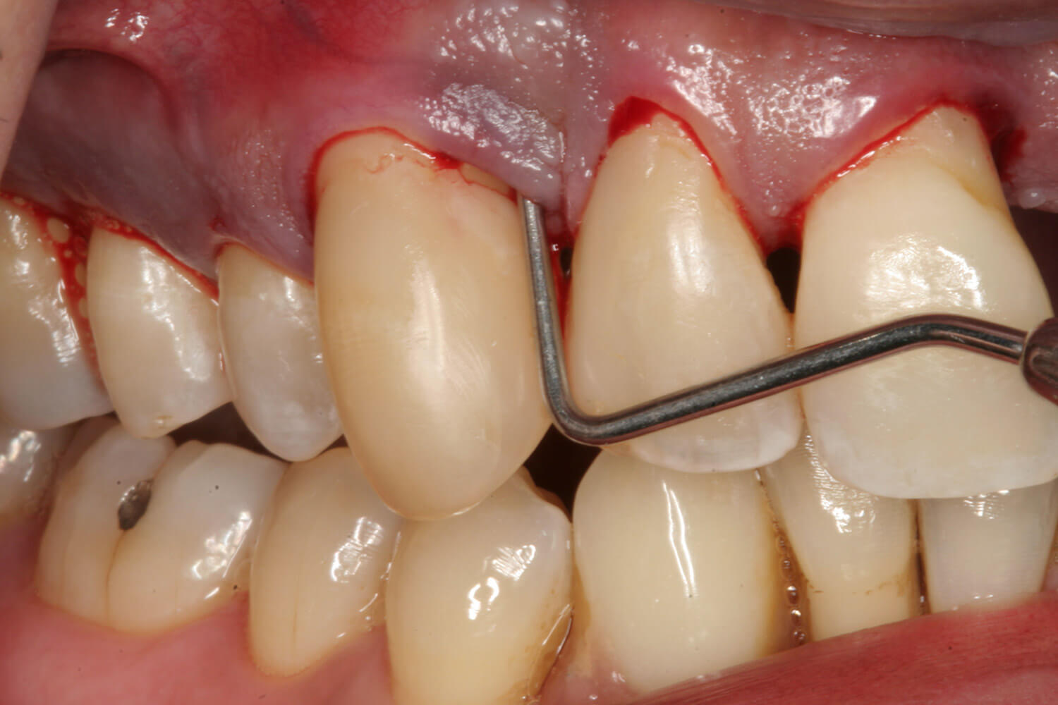
Gum disease is an inflammatory condition affecting the tissues surrounding a tooth, and is the leading cause of tooth loss. Gingivitis is a very common condition and varies widely in severity. It is characterized by red, swollen gums that bleed easily when teeth are brushed or flossed.The infection is primarily caused by plaque, a sticky film of bacteria that irritates the gum line if you let it build up. Gingivitis is a mild form of gum disease that can be reversed.The earliest stage of gum disease is called gingivitis, which is one of the most common conditions affecting the oral cavity.When plaque builds up and mineralizes, it then becomes tartar. The longer plaque and tartar are on the teeth, the more harmful they become. If tartar is left untreated, gingivitis can progress to periodontitis. At this point, the bones, gums, and tissue that support the teeth are destroyed. Eventually, the teeth may become loose as well.
Gum disease is usually painless, so it's difficult for people to realize that they may have it. If you're wondering how to know if you have it, take heed on the following telltale signs.It is crucial to control the progression of gum disease, and that means plaque removal on a daily basis. Daily flossing is also significant in reaching in between the teeth, where a toothbrush cannot.
Symptoms
Warning Signs of Gum Disease:
- Gums that bleed easily
- Red, swollen or tender gums
- Combinations of fixed and removable bridgework:
- Gums that are pulling away (receded) from the teeth
- Chronic bad breath or taste
- Teeth becoming loose
- Change in the way that teeth fit together when biting
- Change in the fit of partial dentures
